Complications of prostate enlargement (BPH)

Benign prostatic hyperplasia or prostate enlargement affects 50% of men over 50 years old and only increases with age. While some people do not develop symptoms, others can develop difficulty with urination, straining, increased frequency, and nocturia (waking up more than once at night to urinate). This can often be treated with medications to relieve symptoms but if left untreated, or if medications do not work well enough, it can lead to chronic obstruction causing serious complications such as inability to urinate and irreversible kidney damage.

A patient was referred to me after a hospitalization due to these complications. He has had foley catheters placed for the third time now due to urinary obstruction. The first two times, the foley catheter was removed after a week thinking his symptoms improved. His symptoms first started almost a decade ago and he had thought it was controlled but ended up in the hospital twice in the past year with complications from unresolved obstruction.

Ultrasound of his right kidney in the hospital showing chronic obstruction with severe hydronephrosis

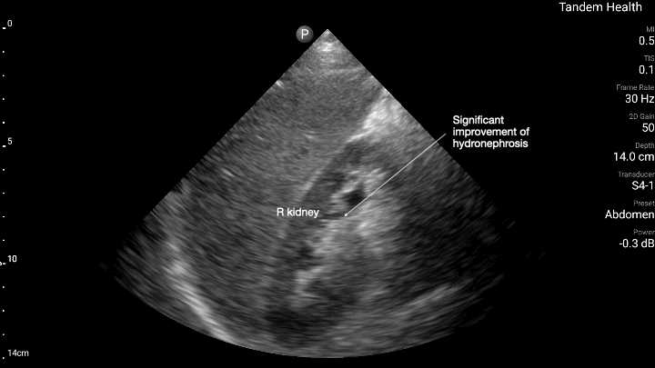
POCUS of his right kidney in clinic with foley in place showing improvement in obstruction.

He went years between the first episode and second thinking the problem was fixed. He went a few months after the first recent hospitalization thinking he was ok again. He noted after his foley was removed a week after his first hospitalization that he did not urinate for 36 hours. He then started urinating again. Couple months later, he was back in the hospital again with obstruction and complications of kidney injury. Foley was again placed with some improvement in his kidney function but he has likely developed long term kidney damage due to these episodes.

Point of care ultrasound (POCUS) of the bladder and kidneys takes minutes to perform and would have revealed if he was retaining urine despite medical treatment years ago, and between his first and second hospitalization if his trial without foley had failed within those first 2 days when he wasn’t urinating. This highlights how POCUS could have potentially prevented long term kidney damage if complications are caught early.

Next
Next

Point-of-care Ultrasound in Primary Care